알마티에서 보내는 편지 - 2019년 10월 (57호)
주 안에서 열방의 증인으로 함께 부르심을 받은 동역자님께 낙엽이 떨어지는 알마티에서 문안드립니다.
알마티의 가을 단풍은 대부분 노란색입니다. 울긋불긋한 아름다운 한국 단풍이 그리워지는 계절이지만 지난 10년간 우리 삼남매 모두 한국 단풍을 본 적이 없습니다. 그래도 창 밖으로 보이는 옆집 담쟁이 넝쿨의 빨간 단풍에 온 가족이 행복해지는 계절입니다. 멀리 중앙아시아 카자흐스탄에서 지난 8-10월 소식을 나누고자 합니다.

저희가 섬기는 깔까만 교회는 1년에 한 번, 뜨거운 여름마다 세례식을 갖습니다. 올해도 깔까만 교회와 형제 교회인 자랴치니 교회가 함께 모여 예수님의 죽으심과 부활에 동참하기를 고백하는 현지인 성도 8명의 세례식을 거행했습니다. 올해도 알마티 북쪽 100Km에 위치한 깝차가이 호수에서 이뤄졌는데 작년에 방문한 곳의 수질이 안 좋았다는 의견이 있어서 올해는 북쪽 물가로 자리를 옮겼습니다.

바다 같아 보이지만 일리 강을 막고 건설한 수력발전소로 인해 생긴 인공호수입니다. 알마티 서민들이 여름 휴가 장소로 가장 인기있는 곳 중 하나가 여기 깝차가이 호수랍니다.

교회 소풍을 겸해 세례식을 진행하다보니 평소보다 많은 사람들이 모였습니다. 무쇠 가마솥에 기름을 부은 뒤 쌀을 넣어 현지식 빨라우를 만드는 모습입니다. 쌀이 익으면 다량의 당근과 고기를 추가해야 하는데 담당자가 고기를 안 가져온 바람에 치킨 조각을 밥 위에 얹으며 크게 웃었습니다.

식사 후 세례 대상자를 위한 성경공부와 문답을 거친 뒤 온 교회가 물가로 이동해서 호수 안으로 걸어 들어가는 형제자매들을 축복했습니다.

세례식 집례는 사빗한과 코사인이 맡습니다. 그러고보니 지난 수년간 수십명의 사람들이 이 깝차가이 호수에서 세례를 받았습니다. 그 중 어떤 이들은 성령님의 도우심으로 지금까지 예수님을 따르는 좁은 길을 걷고 있지만 또 다른 이들은 교회를 등지고 떠나가기도 했습니다. 그래서 이곳에서 세례를 받는다는 것은 기나긴 여정의 시작이라는 생각이 듭니다. 두려운 마음으로 구원을 이루라는 말씀을 기억하며 세례 받는 형제 자매들이 끝까지 믿음의 경주를 달려가길 축복합니다.

이곳 카자흐 사람들의 삶 속에서 중요한 부분은 집을 짓는 일입니다. 평범한 카자흐 사람들의 가장 큰 소원은 조그마한 땅을 구해서 십시일반 돈이 생기는대로 벽돌을 사고 친척이나 주변 사람들의 도움을 받아 자신이 거주할 집을 짓는 일입니다. 보통 집 짓는 일은 추운 겨울을 피해 진행되는데 올 여름에도 교인 세 가정이 집 짓는 일로 바빴습니다. 위 사진은 교회 리더 중 하나인 코사인이 알마티 외곽에서 집 짓고 있는 현장을 방문했을 때 모습입니다. 콘크리이트 철골 구조물이 아니라 이렇게 벽돌 하나하나를 쌓아 올린 뒤 서까래를 얹어 지붕을 처리하는 방식입니다. 다리도 불편하고 구두 수선으로 수입도 적지만 열심히 저축하고 주위 사람들의 도움을 받아 어느새 벽을 쌓고 지붕까지 올렸습니다.

코사인은 9년 전 우리가 처음 샹으락 교회에 합류했을 때 예수님을 믿게 된 교회 밖 노숙자였습니다. 추위를 피해 건물로 들어왔다가 복음을 들었고 이후 밤마다 심해지는 두통과 검은 그림자 악몽에 괴로워하다 예수님의 이름을 부르고 기도하라는 조언에 캄캄한 밤 혼자 예수님의 이름을 부른 뒤 거짓말처럼 찾아온 평안과 기쁨을 경험했습니다. 이후 예수님을 영접하고 믿음이 자라면서 2년 전 새로 개척한 깔까만 교회의 리더로 세워지게 되었지요. 아직 완성되지 않은 코사인 집 밖, 임시 닭장 안에서 햇볕을 쬐고 있는 닭들을 보고 있습니다. 새로 지어지는 코사인 집이 이 지역 사람들의 생명을 살리는 구원의 방주가 되길 기도합니다.

지난 8월 28-29일 양일간 제 4차 한국-카자흐스탄 임상의학 세미나가 카자흐스탄의 수도 누르술탄(구 아스타나)에서 열렸습니다. 이성훈 M이 코이카의 도움을 받아 한국 의료진을 초청해서 누르술탄 UMC와 시립병원 의료진을 대상으로 개최하는 이번 세미나 강사로 한국에서 김문규 선생님(서울 세브란스병원), 강재명 선생님(포항성모병원), 김명진 선생님(충남대학교병원) 이 카자흐스탄을 방문하게 되셨습니다. 세 분 다 이전에 저와 함께 포항선린병원에서 함께 근무했던 분들인데 김문규 선생님은 요르단 M, 강재명 선생님은 캄보디아 M 출신이십니다.

다들 타문화권에서 사역하신 경험이 있는 분이들이시기에 이번 방문은 세미나 뿐 아니라 저희 가정에도 귀한 시간이 되었습니다. 세미나 강의는 소아과, 감염내과 영역에서 이뤄졌고 해당 분야에서 묵묵히 애쓰시는 현지 의료진들에게 큰 도움이 되었습니다.

세미나 첫 날 강의 중 Coffee Break 때 모습입니다. 보시면 아시겠지만 카자흐스탄의 경우 의사의 90% 정도가 여성입니다. 최근 들어 남자도 의대에 지원하는 추세이지만 여전히 의과대학에 가보면 대부분 여학생들입니다. 의사의 사회경제적 지위가 높지 않다보니 의대는 이곳 남학생들에게 그리 인기있는 학과가 아니지요. 90% 이상의 의사들이 국가 의료기관에서 낮은 급여를 받으며 근무하기에 더 열심히, 더 나은 의료 서비스를 제공해야한다는 동기 부여가 낮은 편입니다. 그래서 이렇게 한국에서 온 의료진들에 의해 제공되는 강의와 만남은 언제나 이들에게 건강한 자극을 주지요.

코이카의 도움을 받아 네 차례나 진행했던 임상의학세미나는 이번이 마지막입니다. 내년 3월로 코이카와의 계약이 끝나게 되기 때문입니다. 생각해보면 이성훈 M은 기적같은 방법으로 누르술탄에 왔고 수많은 현지 의료진, 의료정책 입안자들을 만날 수 있었습니다. 하나님의 은혜로 첫 4년은 알마티에서 동산병원, 도스타르메드에서 현지 환자를 돌봤지만 이후 4년은 누르술탄(아스타나)에서 현지 의료진 교육사역을 할 수 있었지요. 우리의 생각을 넘어 일하시는 주님께서 앞으로 또 어떻게 인도하실지 기대하고 있습니다.

올 여름은 첫째 형민이의 한국 대학입시 일정으로 바쁘게 보내기도 했습니다. 지난 7월 1-3일 재외국민 특례전형(3년 특례)에서 세 군데 대학에 지원했는데 형민이와 저희 부부 모두에게 낯설고 정신없는 시간이었습니다. 한국 입시 상황을 잘 알지 못하는 상황에서 누구의 도움도 받을 수 없는지라 마치 태풍이 휩쓸고 지나가는 느낌이었습니다. 첫째라서 더 그랬던 것 같구요. 두 달 뒤 감사하게도 한 군데서 합격 소식을 들을 수 있었습니다. 그러나 아직 입시가 완전히 끝난 것은 아닙니다. 9월 7-10일까지 진행된 수시 전형에도 두 군데 대학에 지원한 상태인지라 최종 결과는 추가 합격 기간이 모두 끝나는 12월 17일 쯤 확정될 것 같습니다. 이번 입시 과정을 거치면서 한국의 학생들과 학부모들이 얼마나 고생하는지 조금이나마 알게 되었습니다. 아직 둘째, 셋째 입시가 남아있긴 하지만 형민이의 입시 과정 속에서 하나님의 인도하심을 보았기에 다른 아이들의 미래도 그 분만 더욱 의지하게 됩니다.

지난 9월 5일에는 이선화 M이 갑작스럽게 탈장 수술을 받게되어 한국을 2주 방문했습니다. 탈장 증상은 오래 전부터 있었지만 이번 여름을 거치면서 증상이 점점 심해지더니 급기야 8월 말부터 통증이 발생하면서 일상 활동에도 제약을 느끼게 되어 현지에서의 응급수술을 피하기 위해 급하게 한국으로 가게 되었습니다. 한국에서 홀 몸으로 수술 받아야 하는지라 친정이 가까운 부산에서 수술하게 되었는데 저희 가정의 후원자이자 학교 선배들이 있는 부산 메리놀병원에 입원하게 되었습니다. 이현국, 안병재 선생님이 이선화 M이 부산으로 내려오는대로 입원하고 수술을 받을 수 있도록 모든 과정을 챙겨주셔서 남편 없이도 평안 속에서 안전하게 수술을 받고 돌아올 수 있었습니다. 두 분 선생님께 다시 한 번 감사드립니다.

형민이는 여름 내내 혼자 한국에서 지내다 9월 수시 접수 일정을 마친 뒤 알마티로 다시 돌아왔습니다. 한국에 있는 동안 저희 회사 부대표 선생님 집에 머물렀는데 감사하게도 해외에서 거주하는 MK 학생들을 위해 가정을 열어 숙소를 제공해 주고 계셔서 이번 여름 저희 가정에게 정말 큰 힘이 되었습니다.
알마티로 돌아온 형민이는 지금 인생에서 가장 여유로운 시간을 보내고 있습니다. 9월 말 큰 알마티 호수에서 모자가 찍은 사진입니다.

알마티에 와 있는 동안 누군가에게 도움이 되고 싶었던 형민이는 한 NGO의 방과후 센터에서 현지 아이들의 학습을 지도하며 텐샨학교 보조교사 역할과 학생들의 과외 지도까지 맡았습니다. 사진은 알마티의 가난한 지역이라고 할 수 있는 샹으락에 있는 NGO '누르' 의 방과후 센터에서 현지 아이들에게 영어를 가르치는 모습입니다.

형민이는 수시에 지원한 대학의 면접 일정 때문에 한 달 정도 잠시 한국에 들어갔다가 11월 말에 카작으로 돌아와서 내년 3월 입학식 전까지 가족과 함께 알마티에서의 마지막 시간을 보낼 예정입니다. 지난 여름, 깔까만 교회의 회중 앞에서 개인 간증을 하기도 했던 형민이는, 그동안 저희 교회 주일학교를 맡아왔기에 교회 꼬마들에게도 인기가 높습니다. 주님께서 형민이의 맘 속에 카작에서의 시간이 아름다운 기억으로 남게 해주시길 기도합니다.
마지막으로 현재 깔까만 교회의 가장 큰 기도 제목인 쟌사야 이야기를 하려고 합니다.

사진은 셋째 성은이와 빨간색 옷을 입은 쟌사야, 그 동생의 모습입니다. 9살 소녀인 쟌사야는 1년 반 전부터 가난한 부모님과 3명의 형제와 함께 교회 출석을 시작했습니다. 부모님은 작년에 세례를 받았고 잔사야도 부모님의 변화와 함께 교회 출석과 방과후 프로그램, 단기팀이 마련한 캠프에도 참석하며 믿음이 조금씩 자라나고 있었지요.
| 
             
  | 
        ![]()  | 
    
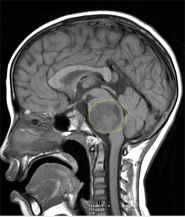
그런데 지난 9월 중순 갑작스런 어지러움증 때문에 방문을 잡고 쓰러졌고 이후 현지 병원 MRI 검사를 통해 뇌간에 4.5cm 크기의 종양이 자라고 있음을 발견하게 되었습니다. 발병 부위가 생명현상을 관할하는 부위라 수술도 힘들고 하루가 다르게 힘이 빠지고 말도 어눌해지고 있습니다.

한 달전부터 온 교회가 쟌사야를 위해 기도하고 있고 이곳을 방문했던 단기팀까지도 잔사야를 위해 기도 중입니다. 그러나 우리의 바램과 달리 쟌사야는 날이 갈수록 점점 더 힘이 빠지고 팔도 굳어져 갑니다. 의식이 희미해져가는 쟌사야를 바라보는 우리의 맘은 안타까움으로 타들어갈 뿐입니다. 쟌사야가 가진 병의 치유를 위해, 이 일로 쟌사야의 가족의 믿음이 더욱 굳세어지도록 기도해주세요.
[ 기도 제목 ]
1. 쟌사야의 병을 인해 그 가족의 믿음이 떨어지지 않도록, 쟌사야에게 치유의 광선이 비춰져 병세가 호전되도록 기도합니다. 쟌사야를 간호하는 부모와 주위 사람들이 낙심하고 지치지 않도록, 깔까만교회가 이 일로 더욱 깊은 믿음의 자리로 나아갈 수 있도록 기도해주세요.
2. 누르술탄(구 아스타나) 에서의 사역을 정리하면서 이성훈 M의 통역이자 도우미로 일했던 아셈에게 복음을 전하고 성경을 전달하려고 합니다. 아셈과 만나 대화할 때 성령님께서 자매의 마음 문을 열어 주시길 기도해 주세요.
3. 형민이의 입시 일정이 진행 중입니다. 우리 가정이 이 과정을 통해 하나님을 더욱 의지하고 감사드릴 수 있도록 기도해 주세요. 형민이의 마음 속에 주님이 주시는 거룩한 열정이 넘쳐나도록 기도해 주세요.
기도편지는 매 3개월마다 동역자님께 배달됩니다.
동역자님의 기도와 후원으로 우리가 이곳에서 사역합니다.
이성훈, 이선화, 형민, 시은, 성은 드림